Stay Current in Your Practice With Journals Delivered Right to Your Door.

Inside ASRT Journals
  • Pediatric Elbow Fracture Diagnosis Using 3-D MR Imaging

    Marrit Thorkelson, R.T.(R)(MR); Robyn Augustyn, B.S.R.T., R.T. (R)(CT); Craig E. Barnes, M.D.

    Fractures of the elbow are a common injury in children. Supracondylar humeral fractures are the most prevalent type of elbow fracture, whereas lateral condyle fractures are less common, and medial epicondyle are the least common.1 In children, medial epicondyle ossification occurs between ages 3 and 7 years.2 When a pediatric patient presents with elbow pain and decreased range of motion, a radiographic examination commonly is performed. However, because elbow fractures involving the unossified distal humerus might not be evident using this modality, other imaging examinations, such as magnetic resonance (MR) imaging, should be performed whenever a fracture is suspected. MR imaging can detect bone fractures as well as injury to surrounding anatomy such as cartilage, tendons, and ligaments. This case summary discusses a 2-year-old patient with a fracture of the distal humerus where the unossified cartilaginous trochlear and medial epicondyle fracture fragment was displaced from the joint. (see Figure 1).

    Case Description

    A 2-year-old child presented to the emergency department with right elbow pain after falling off a bench at school. The emergency department physician noted swelling around the medial condyle and decreased range of motion. A radiograph of the injured elbow revealed evidence of soft-tissue swelling but no fracture (see Figure 2). The patient was discharged and instructed to wear a sling for 1 to 2 weeks and to follow up with the orthopedics department.

    At a follow-up appointment with the orthopedics department, the patient continued to exhibit pain and swelling in the right elbow, as well as an inability to straighten the elbow and a refusal to use the right arm. A radiograph revealed decreased soft-tissue swelling and a posterior fat pad, not previously observed, that indicated possible joint effusion. The radiograph also revealed a calcification in the area of the swelling (see Figure 2). These findings indicated a possible fracture, and the patient’s right elbow was placed in a cast for 2 weeks.

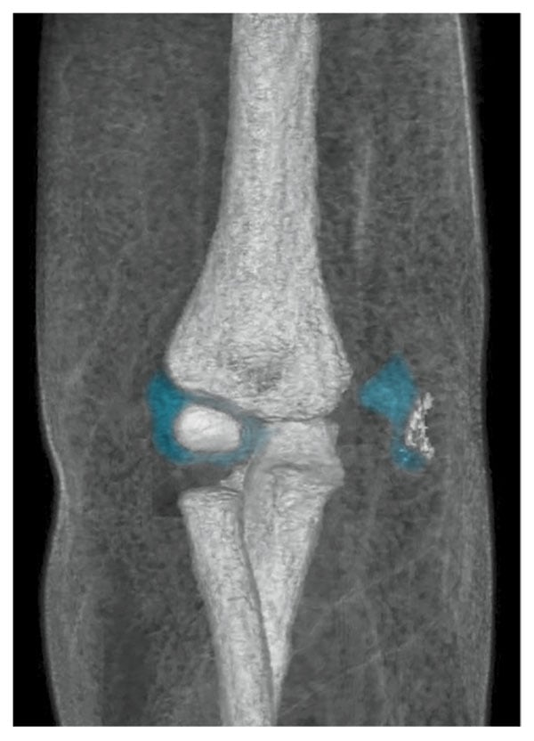
    Figure 1. 3-D volume-rendered images display the fracture fragment and cartilage (in blue) in relation to skin. Image courtesy of the authors.
    Figure 2. Radiographs obtained in the anterioposterior views in sequential order. A. First radiograph obtained showing soft-tissue swelling. B. Follow-up radiograph showing suspicious calcification in area of injury. C. Postcast radiograph showing increased prominence of calcification, indi- cating possible medial epicondyle and condyle avulsion fracture. Images courtesy of the authors.

    After the cast was removed, swelling and limited range of motion still were present in the elbow. Another radiograph showed an ossified structure overlying the medial joint and a periosteal reaction along the distal dorsal cortex of the right humerus. The findings raised the possibility of a medial epicondylar avulsion fracture, and an MR examination was ordered to evaluate the area.

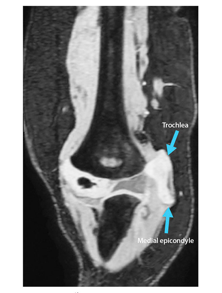
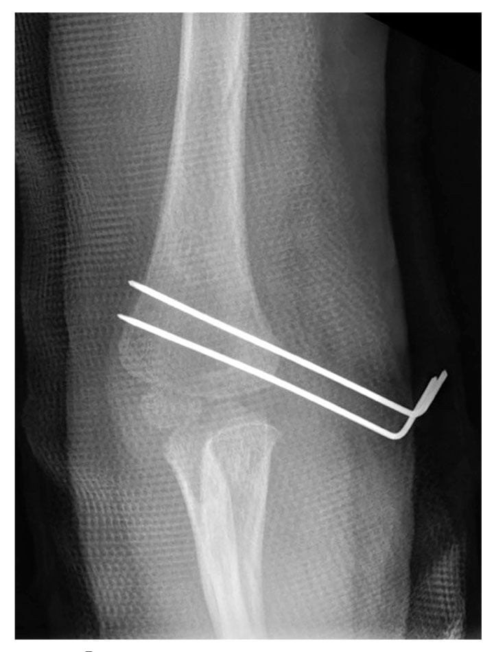
    MR images revealed an avulsion fracture of the right medial condyle and epicondyle. The fragment was displaced medially and rotated; the articular surface was oriented laterally facing the distal humerus, which correlated with the calcification seen on previous radiographs. The displaced, predominately cartilaginous, trochlear and medial epicondyle fracture fragment was visible on cartilage-specific fat-suppressed T1 volume sequences (see Figure 3). MR images were sent to the 3-D Innovation Laboratory and processed into 3-D volume-rendered images for surgical planning using a sequence that isolates bone and cartilage from adjacent structures. Orthopedic surgeons evaluated the images, and determined that an open reduction and internal fixation surgical procedure was required. They performed the procedure on the trochlea and medial epicondyle, using Kirschner wires to repair the fracture. A postoperative radiograph, obtained while the elbow was in a cast, showed Kirschner wire placement and confirmed fracture repair (see Figure 4).

    Figure 3. Magnetic resonance image showing a medially displaced and rotated avulsion fracture of the trochlea and medial epicondyle. Image courtesy of the authors.
    Figure 4. Postoperative repair of the medial condyle and epicondyle avulsion fracture with Kirschner wires in place. Image courtesy of the authors.

    Imaging Techniques

    Multiplanar multisequence MR imaging of the right elbow, without gadolinium contrast, was performed with the patient under general anesthesia after several radiographic examinations led to incorrect diagnoses. A 3-D fat-suppressed T1 gradient echo sequence was used to capture volumetric image data and highlight cartilage and bony anatomy. The data were sent to the 3-D Innovation Lab for postprocessing, and technologists used Smart Segmentation (CT Viewer, Intellispace Portal, Philips) techniques, which involved highlighting individual anatomical parts of the elbow and combining them into a 3-D volumetric image. The segmentation tool provides a method to manually segment each part of the anatomy and assign colors to each tissue so that bone and cartilage are easily identified. The 3-D view of the fracture and cartilage revealed their relationship to the displaced osteocartilaginous fracture fragment, which was useful for the radiologist reviewing the MR images as well as for the orthopedic surgeon (see Figure 5). 3-D volume sequences have been used for some time to create coronal, axial, or sagittal reformats from source data. However, the use of 3-D volume sequences to make 3-D volumetric images in musculoskeletal imaging is a new application.

    Conclusion

    Fractures of the elbow are prevalent in the pediatric population. Although 20% of pediatric elbow fractures involve the medial epicondyle, these types of injuries typically occur in patients older than the child featured in this case summary when the medial epicondyle is at least partially ossified.3 Pediatric fractures of the epicondyle and condyle can be difficult to assess on radiographs. In this case, because of the patient’s age, the lack of ossification of the trochlea and medial epicondyle made the fracture challenging to visualize, necessitating the use of a more sensitive imaging tool. MR imaging was a superior choice because of its ability to image the bones and soft structures of the elbow, including the cartilage. The ability to create volumetric thin-slice sequences using MR imaging opens the door to other innovative uses, and 3-D postprocessing of captured data can assist in MR interpretation and surgical planning.

    Figure 5.3-D volume renderings of the right elbow, demonstrating a displaced osteocartilaginous medial condyle and epidondyle fracture fragment along the medial aspect of the elbow joint. Images courtesy of the authors

    Marrit Thorkelson, R.T.(R)(MR), is a 3-D imaging technologist in the 3-D Innovation Laboratory for Phoenix Children’s Hospital in Arizona.

    Robyn Augustyn, B.S.R.T., R.T.(R)(CT), is a 3-D imaging technologist in the 3-D Innovation Laboratory for Phoenix Children’s Hospital in Arizona.

    Craig E. Barnes, M.D., is director of musculoskeletal imaging for Phoenix Children’s Hospital in Arizona. Contact the authors at [email protected].

    References

    1. Hyatt BT, Schmitz MR, Rush JK. Complication of pediatric elbow fractures. Orthop Clin North Am. 2016;47(2):377-385. doi:10.1016/j.ocl.2015.09.011.
    2. Tanabe K, Miyamoto N. Fracture of an unossified humeral medial epicondyle: use of magnetic resonance imaging for diagnosis. Skeletal Radiol. 2016;45(10):1409-1412. doi:10.1007/s00256-016-2434-3.
    3. Gottschalk HP, Eisner E, Hosalkar HS. Medial epicondyle fractures in the pediatric population. J Am Acad Orthop Surg. 2012;20(4):223-232. doi:10.5435/JAAOS-20-04-223.

Want Access to More Content Like This?

Join today to receive six issues of our award-winning journal, Radiologic Technology, and six issues of our news magazine, ASRT Scanner, delivered to your mailbox.

Members get immediate access to 15 CE credits from our library of Directed Reading articles when they choose the Directed Reading Flex Plan™.